środa, 27 lipca 2016

Aparat porcelanowy

Q: Czy aparaty stałe estetyczne są tym samym, czym aparaty stałe kosmetyczne? Określenie - aparaty kosmetyczne jest pojęciem szerszym, gdyż pod tą nazwą kryją się nie tylko aparaty labialne w kolorze zęba, ale również aparaty lingwalne, które są przyklejane na językowej powierzchni zęba, a więc są niewidoczne. Dzięki doświadczonym lekarzom możemy dziś osiągnąć nieprawdopodobne do niedawna efekty zarówno estetyczne, jak i zdrowotne. Dokładna wycena kompleksowego leczenia pacjenta z zastosowaniem estetycznego aparatu stałego porcelanowego zostanie podana po wstępnych badaniach i skonstruowaniu potencjalnego planu leczenia.


Aparat porcelanowy – cena.

Ich niewątpliwą zaletą jest właśnie niewidoczność – dopasowują się do koloru zęba, a przez to są bardzo estetyczne, możesz zapomnieć. Cena aparatu ortodontycznego - rodzaje. Proces leczenia wad zgryzu jest prostszy u dzieci niż u dorosłych. Od wieku zależeć będzie też dfinalnie ile kosztuje aparat na zęby. Estetyczny, porcelanowy, szafirowy, ceramiczny aparat ortodontyczny.


Po pierwsze dlatego, że jest urządzeniem skutecznym w leczeniu wszelkiego rodzaju wad zgryzu, a po drugie – ze względu na wysoką estetykę. Jeden aparat a tyle różnych określeń.

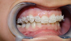
Te wszystkie określenia odnoszą się do aparatów ortodontycznych o zamkach w kolorze zęba, lub całkowicie przezroczystych. Różnica między nimi to głównie materiał z którego są skonstruowane. W zamkach tradycyjnych łuk jest mocowany ligaturą metalową lub elastyczną (gumką). Oglądałam na żywo u mojej ortodontki aparat szafirowy i porcelanowy, i moim zdaniem poza ceną nie różnią się niczym;) podobno szafiowy mniej się przebarwia, ale prawda jest taka że przebarwiają sie w zasadzie tylko gumki które i tak co miesiąc się wymienia:) Dlatego zdecydowałam się na porcelanę. Aha, oba są przezroczyste.


Kontrakt ten obejmuje bezpłatne leczenie dzieci do lat aparatami ruchomymi jedno- i dwuczęściowymi. Prosimy nie zwlekać z zapisem. Materiał ten umożliwia dopasowanie koloru zamków do naturalnej barwy zębów. To nieco tańsza opcja aparatu estetycznego, ale zapłacimy za niego o połowę więcej niż za tradycyjny aparat metalowy. Proste, zdrowe zęby, to nie tylko kwestia urody.


Krzywy zgryz może narażać nas na szereg poważnych dolegliwości jamy ustnej. Sprawia on, że trudno jest dokładnie umyć wszystkie jej zakamarki, przez co staje się ona naturalnym środowiskiem do rozwoju zarazków i bakterii. Zmniejszenie tarcia pozwala na osiągnięcie mniejszej bolesności podczas leczenia.


Takie aparaty przykleja się do zewnętrznych powierzchni wszystkich zębów. Są zbudowane z zamków (kosteczek z metalu, porcelany, kryształu lub kompozytu), pierścieni albo tub oraz łuków (metalowych albo powlekanych teflonem, silikonem).

Zobacz efekty leczenia ortodontycznego wady zgryzu u dorosłego mężczyzny. W procesie leczenia niezbędne było usunięcie dwóch zębów. Pacjent leczony był za pomocą aparatu porcelanowego. Wobec tego aparat ortodontyczny porcelanowy wart jest swojej ceny, gdy zależy nam na ładniejszym uśmiechu już w trakcie leczenia.


Musimy jednak pamiętać o tym, że ma on też swoje wady – głównie jest to kwestia zmniejszonej estetyki wtedy, gdy gumki do aparatu będą zabrudzone, więc zalecana jest ich częsta wymiana u ortodonty. Zaleca się wówczas stosowanie szyn ochronnych. Warto podkreślić iż aparat porcelanowy jest jak mrożone szkoło, lekko mleczny- jednak gdy nie masz zółtych zebów wygląda ślicznie i go nie widać.


Cennik dodatkowych usług ortodontycznych Po założeniu aparatu jesteśmy zobowiązani do odbywania wizyt kontrolnych co 4-tygodni w zależności od założonego aparatu stałego. Tradycyjne aparaty ortodontyczne wykorzystują do działania ligaturę. Jest to mała gumowa opaska, trzymająca łuk ortodontyczny w zamku, powodująca przemieszczenie zębów do żądanej pozycji. Alternatywą dla tej technologii są aparaty samoligaturujące, które nie posiadają ligatur (gumowych opasek), a ich działanie opiera się o. Dziś charakterystyczne aparaty na zęby noszą wszyscy - dzieci i dorośli, aktorzy, piosenkarze, prezenterzy telewizyjni, biznesmeni. Na skorygowanie wady zgryzu nigdy nie jest za późno.


Zapraszamy na konsultacje do naszej kliniki, gdzie dzięki niezbędnym narzędziom diagnostycznym, nasz lekarz ortodonta w pełni oceni możliwość zastosowania aparatu porcelanowego,. Standardowy aparat stały składa się z zamków i rurek policzkowych przytwierdzanych do zębów za pomocą kleju ortodontycznego. Poza tym działają dokładnie tak samo jak metalowe odpowiedniki. Dlatego leczenie z zastosowaniem aparatów porcelanowych będzie skuteczne.


BetterDent tworzy grupa profesjonalistów, dla których dobro pacjenta zawsze jest na pierwszym miejscu. Każda osoba, która do nas trafia, otrzyma kompleksową, dopasowaną do swoich potrzeb pomoc. Pozwala przemieścić nieprawidłowo ustawione zęby na ich właściwe miejsce.


Stosuje się go nie tylko w celach kosmetycznych, czyli aby poprawić wyglą ale też w celach zdrowotnych. Terapia ortodontyczna powinna być jak najbardziej efektywna i wydajna, oraz musi dawać pacjentowi duży komfort leczenia.

Brak komentarzy:

Prześlij komentarz

Uwaga: tylko uczestnik tego bloga może przesyłać komentarze.

Popularne posty