wtorek, 3 października 2017

Wprawienie zęba koszt

Wstawienie zęba za pomocą mostka odbywa się przeważnie na kilku wizytach. Pierwsza poświęcona jest na szlifowanie, na kolejnej przymierzana jest podbudowa, a gotowa praca cementowana na trzeciej z kolei. Ile kosztują implanty zębów?


Jakie są przeciętne koszty procedur ortodontycznych? Zamów finansowanie przez MediRaty i dostosuj plan spłat do swoich potrzeb i przekonaj się, jakie to proste. No napewno implantów na NFZ to nie ma , bo z tego co Pani piszę wynika ,że o taką odbudowę chodzi , nie wiem o co chodzi z normalnym dentystą , ale zawsze lepiej u normalnego niż nie.

Ale na jakiś czas możesz sobie takiego wstawić, jak nie masz kasy. Wraz ze wzrostem świadomości pacjentów gabinetów stomatologicznych obserwuje się coraz większe zainteresowanie zabiegami implantologicznymi. Nic w tym dziwnego, bowiem zabieg wszczepienia implantu zębowego to często najlepsze rozwiązanie pozwalające odbudować braki zębowe. Pewną barierą do wykonania zabiegu mogą być koszty, jakie są związane z założeniem implantu zęba.


Pamiętajmy, że materiały używane w leczeniu implantologicznym są bardzo drogie i stanowią główny składnik jego ceny, dlatego ostateczny koszt wstawienia implantu i korony będzie wysoki. Warto już na pierwszej wizycie u stomatologa dopytać, ile faktycznie wydamy na wstawienie sztucznego zęba. Można brak uzupełnić mostem protetycznym. Jest wiele opcji leczenia, ale to pełnej wyceny niezbędna jest konsultacja w gabinecie.


Stomatolog i członek prestiżowych organizacji stomatologicznych.

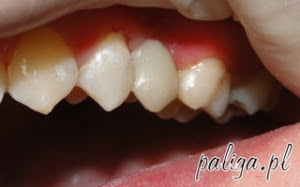
Ile naprawdę kosztuje implant? Ogłoszenia - najczęściej ogłoszenia czytane przez Państwa ukrywają bardzo ważne informacje na temat cen implantów jako całości, brak jest informacji o całkowitym koszcie leczenia – często pomijane są ceny konsultacji, diagnostyki, łączników (ceny się bardzo wahają) lub koron. Po założeniu samego implantu po kilku miesiącach czas jest na. Usunięcie zeba potocznie jest nazywanie wyrwaniem, a specjalistycznie ekstrakcją zęba.


Jest to zabieg chirurgiczny w którym za pomocą kleszczy lub dźwigni usuwa się zęba z zębodołu. Cena pojedynczej plomby zależy od kilku czynników: wielkości ubytku w zębie, czasu potrzebnego na wykonanie wypełnienia, materiału zastosowanego do leczenia zęba, niekiedy również dodatkowych zabiegów (badanie rtg, znieczulenie). Duży wpływ na koszt plomby posiada też lokalizacja danego gabinetu oraz renoma zatrudnionych w nim lekarzy. Generalnie to nie najlepszy pomysł , jeżeli tylko zęby mimo ich stanu po leczeniu będą nadawały się jako filar protetyczny to należy je wykorzystać , mimo coraz lepszych systemów implantologicznych , zawsze lepszy jest własny ząb. Poza tym kwestia finansowa , jeżeli chciałby Pan odbudować obydwa łuki zębowe implantologicznie , tak , aby w pełni odtworzyć funkcjonalność i. Jeśli jednak korzeń jest chory, zęba trzeba wyrwać - wtedy w grę wchodzi tylko mostek, oby na jednym zębie.


Czasami upierają się, że musi być na dwóch. Każdy ząb to koszt mniej. Piękny, pełny uśmiech – kto z nas o nim nie marzy? Niestety, czasami na skutek wypadku, choroby czy własnego zaniedbania tracimy zęby. Rozwiązaniem mogą być profesjonalne implanty zębów.


Spróbujmy sobie odpowiedzieć na pytanie: ile kosztuje implant zębowy? Prawdopodobnie jest to cena każdego zęba tzn. Twój ząb i niestety nie jest na stałe tylko może po jakimś czasie wypaść , co nie jest przyjemne.


Jeżeli korzeń się nie nadaje bądź też go w ogóle nie ma koszt zęba z koronką będzie wynosił 6złotych.

Nie pozwól na żaden most. Takie cacko oznacza wyrwanie tego złamanego zeba i szlifowanie sąsiedniego. Znajdz trzeciego dentyste i zapytaj,czy nie da rady odbudować zęba na sztyfcie,co oczywiście wiąże się z kanałowym leczeniem ale zachowasz zęba.


Jak i on powie,ze z tego,co masz nie da rady nic odbudować,załóz koronkę. Czy może mi ktoś doradzić jakiego mam wstawić sobie zęba Złotego, oczywiście. I jeszcze jakie są koszty? Koszty zależą od wagi zęba. Można wstawić taki pusty w środku, wtedy będzie taniej.


Oczywiście , że da się nadstawić zęba o ile jest zdrwy korzeń. Całosć nie jest zbytnio droga. Jeżeli Państwo pytają o koszt zęba z koronką to wynosi on ok 3zł jeżeli oczywiści.


Jeżeli chciesz wiedzieć więcej w temacie wstawienie zęba koszt, wybierz jeden z artykułów: Zęby ósemki – kłopotliwe zęby mądrości. Choć zęby mądrości brzmią dumnie to jednak dla wielu osób są prawdziwą zmorą. Często sprawiają wiele kłopotów takich jak migreny, stany zapalne czy opuchlizny. Mam, więc pytanie, ile może kosztować wstawienie nowego zęba przedniego, wiadomo, że patrzę na niski koszt, ale nie chce też mieć byle, czego. Wyczytałem na forum o za ok.


Może, jaki jest najtańszy a dobry sposób? Najlepiej żeby na stałe był. Ta kwota obejmuje wszczep dentystyczny, łącznik oraz koronę. Z kolei w przypadku całkowitego bezzębia zwykła proteza akrylowa, taką którą najczęściej kojarzymy to koszt ok. Można też wykonać protezy stabilizowane na implantach.


Prezentujemy Państwu nasz pełen cennik usług stomatologicznych z podziałem na poszczególne dziedziny. Jak wiadomo piękny uśmiech jest bezcenny. U nas dostaniesz najlepszą proporcję ceny do jakości.


Sprawdź ceny naszych zabiegów.

Brak komentarzy:

Prześlij komentarz

Uwaga: tylko uczestnik tego bloga może przesyłać komentarze.

Popularne posty